नई दिल्ली: क्षय रोग या ट्यूबरक्लोसिस (TB) ऐसी खतरनाक बीमारी है, जो सीधे फेफड़ों पर हमला करती है और उसके बाद रीढ़ की हड्डी से होते हुए ब्रेन तक फैल जाती है। गुजरे जमाने में यह बीमारी असाध्य मानी जाती है लेकिन आजकल इस बीमारी का वक्त रहते पता चल जाए तो सटीक इलाज उपलब्ध है।LatestLY की रिपोर्ट के मुताबिक स्कूल में पढ़ाने वाली 27 साल की एक महिला शिक्षक के छाती में दर्द रहता था। वह पिछले छह महीनों से बलगम, खांसी और बुखार जैसे लक्षणों से पीड़ित थी। उसे शक हुआ कि कहीं उसे TB तो नहीं हो गया है। उसने इलाज के लिए डॉक्टर से संपर्क किया। डॉक्टरों ने उनके टीबी (TB) के कई टेस्ट किए लेकिन वे सब निगेटिव आए। वहीं महिला की छाती में दर्द लगातार बना हुआ था।
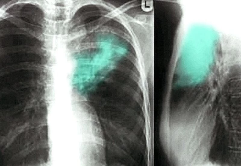
आखिर में डॉक्टरों ने महिला के फेफड़ों का एक्सरे किया। एक्सरे करने वाले डॉक्टरों ने फेफड़ों के ऊपरी दाहिनी ओर सूजन पाई। बारीकी से जांच करने पर पता चला कि यह सूजन फेफड़ों में जमे एक उल्टे बैग जैसी संरचना की वजह से है। इसी बैग की वजह से महिला को लगातार बुखार और खांसी बनी हुई थी।
इसके बाद डॉक्टरों ने तुरंत महिला के ऑपरेशन का फैसला किया और सर्जरी करके उस बैग नुमा चीज को बाहर निकाला। उस बैग को देखकर डॉक्टर हैरान रह गए। दरअसल वह बैग और कुछ नहीं एक कंडोम (Condom) था। जब डॉक्टरों ने महिला और उसके पति को आमने-सामने बिठाकर पूछताछ की तो महिला ने स्वीकार किया कि मुखमैथुन के दौरान उसने वह कंडोम निगल लिया था। कपल ने बताया कि शरीर में जाने के बाद कंडोम ढीला पड़ गया था। जिसकी वजह से महिला को खांसी और छींक शुरू हो गई।
महिला ने बताया कि वे और उसके पति दोनों इस कंडोम (Condom) के बारे में जानते थे। लेकिन शर्मिंदगी की वजह से डॉक्टरों को इस बारे में नहीं बताया। हालांकि एक्सरे के दौरान डॉक्टरों को इस बात का पता चल गया और वक्त रहते उसकी सर्जरी हो गई। जिससे महिला की जान बच गई।
रिपोर्ट के मुताबिक मेडिकल लिटरेचर में यह अपनी तरह का अनोखा मामला है। फिलहाल महिला की हालत ठीक है और वह सारे रूटीन काम कर रही है। हालांकि कंडोम (Condom) के बाकी बचे हिस्सों को निकालने के लिए उसे फेफड़ों की एक और ब्रोन्कोस्कोपी सर्जरी से गुजरना पड़ सकता है।
