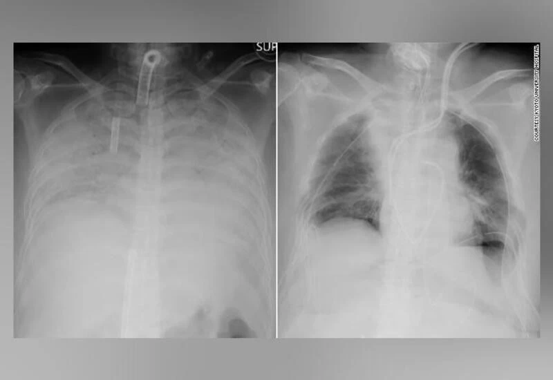
टोक्यो: जापानी चिकित्सकों को कोरोना से पीड़ित एक महिला के बुरी तरह खराब हो चुके फेफड़े के प्रत्यारोपण में बड़ी कामयाबी मिली है। मृतक डोनर के फेफड़े को प्रत्यारोपित करने के कई सफल ऑपरेशन विश्व भर में हो चुके हैं मगर यह पहली बार है जब किसी जीवित डोनर ने अपने फेफड़े का कुछ हिस्सा दान किया है।
क्योटो यूनिवर्सिटी हॉस्पिटल ने कहा, 30 डॉक्टरों की टीम ने 11 घंटे की कोशिश के बाद इसमें कामयाबी पाई। महिला के फेफेड़े में उसके पति और बच्चे के फेफड़े का कुछ हिस्सा ट्रांसप्लांट किया गया है।
गौरतलब है, कोरोना संक्रमण के कारण फेफड़े के खराब होने के कई मामले अमेरिका में भी सामने आ चुके हैं। लेकिन इनमें मरीजों को बचाने के लिए डॉक्टरों ने मृत डोनर के अंगों का इस्तेमाल किया था। हॉस्पिटल के अनुसार यह पहली बार है जब एक जीवित डोनर के फेफड़े का कुछ हिस्सा कोरोना मरीज को ठीक करने में उपयोग हुआ है।
कोरोना मरीजों के लिए उम्मीद की किरण
डॉक्टरों की टीम का नेतृत्व कर रहे डॉ. हिरोशी के अनुसार कोरोना से पीड़ित मरीज, जिनके फेफड़े खराब हो चुके हैं, उनके लिए यह आशा की किरण है। उन्होंने कहा कि हमने यह दिखा दिया कि जीवित डोनर से अंग का कुछ हिस्सा दान लेकर भी फेफड़ों को दुरुस्त किया जा सकता है।
कई महीन से जीवन रक्षक प्रणाली पर थी
क्योटो हॉस्पिटल के मुताबिक महिला मरीज जापान के कंसाई की रहने वाली है और उसे पिछले साल कोरोना संक्रमण हुआ था। वह कई महीने से जीवन रक्षक प्रणाली पर थी। महिला के पति और बेटे की हालत स्थिर बताई गई है।
डॉक्टर के अनुसार अगले दो महीने में उन्हें अस्पताल से छुट्टी मिल जाएगी। बता दें, पिछले साल जून में अमेरिकी सर्जन की टीम ने एक कोरोना मरीज के फेफड़ों का सफल प्रत्यारोपण किया था।
