Science: A new AI tool can automatically identify different types of brain injuries by analyzing images of CT scans.
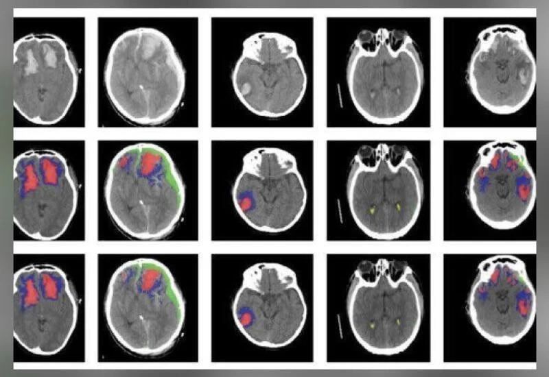
The system uses a machine learning algorithm to detect and differentiate between types of brain lesions — areas of tissue that have been damaged through injury or disease.
The subtle differences it spots could help develop personalized treatments for head injuries, which affect up to 60 million people every year.
Usually, patients with head injuries are sent for a CT scan to check for blood in or around the brain. Radiologists then review the images to decide which drugs or surgery to use for treatment.
However, this assessment can take hours, and often misses important details about the type, volume, and location of a lesion on the brain.
To cut the time and enhance the insights, scientists from Imperial College London and Cambridge developed an AI tool that does the job automatically.
Brain scanning
The system is based on an artificial neural network developed at Imperial. The researchers trained the tool on more than 600 CT scans showing different types of brain lesions. They then checked if it worked by applying it to an existing dataset of scans.
They found that the AI successfully classified individual parts of each image — and worked out whether the brains were damaged or not.
The researchers believe the tool could reveal how head injuries progress, by detecting subtle changes that humans normally miss. They also think it could offer new insights into the prognosis of brain injuries — which may help develop new forms of treatment.
“We’re currently only using the AI for research, but with proper validation, it could also be used in clinical scenarios like in resource-limited areas where there are few radiologists,” said Imperial PhD student Miguel Monteiro, the co-first author of the study.
Any scientists who want to experiment with the tool can check it out at GitHub.
